Modern tıbbın karanlık sayfalarından biri olarak kabul edilen lobotomi, 20. yüzyılın ortalarında psikiyatrik hastalıkların tedavisinde sıkça uygulanan, ancak beraberinde ağır etik tartışmalar getiren bir yöntemdir. Bir dönem umut ışığı olarak görülen bu operasyon, zamanla insan hakları ihlalleri ve geri dönüşü olmayan yan etkileri nedeniyle tarihe gömülmüştür.

LOBOTOMİ NEDİR?

Lobotomi, beynin ön lobunda bulunan bağlantıların cerrahi müdahale ile kesilmesi işlemidir. Tıp literatüründe “prefrontal lobotomi” olarak geçen bu yöntem, ilk kez 1935 yılında Portekizli nörolog António Egas Moniz tarafından uygulanmıştır. Amaç, ağır depresyon, şizofreni ve obsesif kompulsif bozukluk gibi tedaviye dirençli ruhsal hastalıkları iyileştirmekti. Ancak bu yöntem, beynin doğal işleyişine doğrudan müdahale etmesi nedeniyle zamanla ciddi eleştirilerin hedefi olmuştur.

LOBOTOMİ NEDEN YAPILIR?

Geçmişte lobotominin yapılma nedeni, ilaçla tedavi edilemeyen psikiyatrik bozukluklara çözüm bulmaktı. Özellikle 1940’lı ve 1950’li yıllarda antipsikotik ilaçların henüz geliştirilmediği dönemlerde, hastaların saldırgan davranışlarını kontrol altına almak için sıkça tercih edilirdi. Ancak modern tıp, bu yöntemin hastaların kişiliklerini yok ettiği ve insan onuruna aykırı olduğu konusunda hemfikir hale gelmiştir.

Tıp Tarihinin En Tartışmalı Operasyonlarından Biri Olan Bu Yöntem, Insanlık Adına Hem Umut Hem De Büyük Bir Hata Olarak Kayıtlara Geçti. Peki, Aslında Lobotomi Nedir

Matcha latte nedir, faydaları nelerdir, neden kahvenin yerini alıyor? Kombucha nedir, nasıl içilir, ne işe yarar? Sağlıklı içecek trendleri
Matcha latte nedir, faydaları nelerdir, neden kahvenin yerini alıyor? Kombucha nedir, nasıl içilir, ne işe yarar? Sağlıklı içecek trendleri
İçeriği Görüntüle

LOBOTOMİ NE İŞE YARAR?

Lobotomi, uygulandığı ilk yıllarda hastaların huzursuzluğunu ve saldırgan davranışlarını azaltma konusunda geçici sonuçlar verebiliyordu. Ancak bu “sakinleştirme” etkisi aslında beynin işlev kaybı ile ortaya çıkıyordu. Hastalar genellikle duygusal tepkilerini kaybediyor, karar verme yetilerinde ciddi bozulmalar yaşıyor ve toplumdan soyutlanıyordu. Dolayısıyla, lobotominin işe yarayıp yaramadığı sorusu, günümüzde etik açıdan tartışmalı bir noktada durmaktadır.

LOBOTOMİ OPERASYONU NEDİR?

Lobotomi operasyonu, beynin frontal lobundaki sinir bağlantılarının kesilmesiyle gerçekleştirilen cerrahi bir işlemdir. Geçmişte bu operasyon, kimi zaman göz çukuru üzerinden sokulan metal çubuklarla, kimi zaman da kafa tası açılarak yapılırdı. “Transorbital lobotomi” adı verilen yöntem, özellikle ABD’de Dr. Walter Freeman tarafından binlerce hastaya uygulanmıştır. Bugün bu yöntem, tıp tarihindeki en tartışmalı uygulamalardan biri olarak kabul edilmektedir.

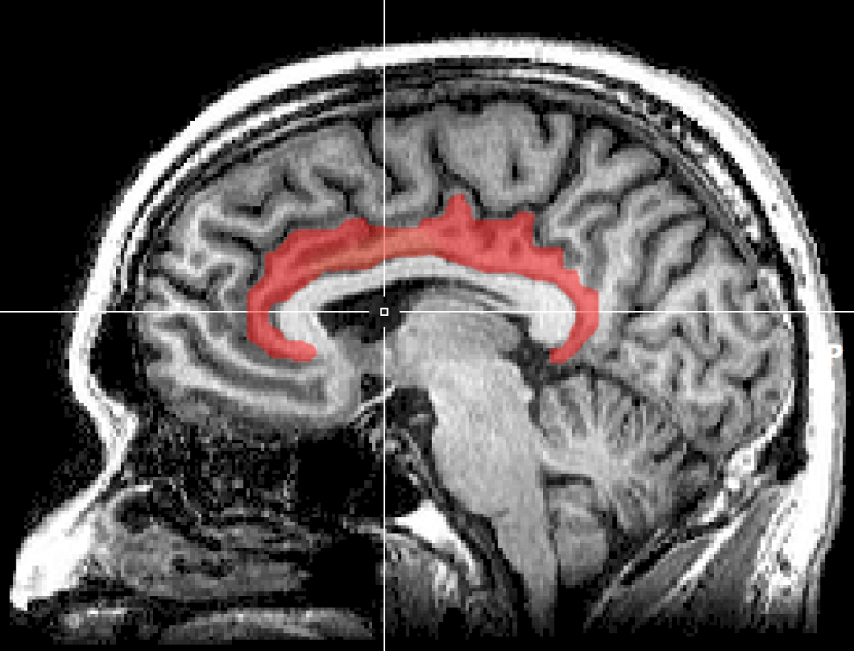
Mri Cingulate Cortex

LOBOTOMİ AMELİYATI

Lobotomi ameliyatı, basit gibi görünen fakat sonuçları itibarıyla son derece yıkıcı olabilen bir müdahaleydi. Ameliyat sırasında hastaların beyin dokularında geri dönüşü olmayan değişiklikler meydana geliyordu. Bu nedenle modern tıpta lobotomi ameliyatı artık uygulanmamakta, bunun yerine ilaç tedavileri ve psikoterapi yöntemleri kullanılmaktadır.

LOBOTOMİ YAN ETKİLERİ NELERDİR?

Lobotominin yan etkileri, operasyonun en tartışmalı boyutunu oluşturur. Hastaların büyük çoğunluğu şu sorunlarla karşı karşıya kalıyordu:

  • Kişilik değişiklikleri
  • Hafıza kaybı
  • Duygusal tepkisizlik
  • Sosyal hayattan kopma
  • Hareket bozuklukları
  • Konuşma ve düşünme zorlukları

Bazı vakalarda ise ölümle sonuçlanan komplikasyonlar yaşanmıştır. Bu yan etkiler, lobotominin tıptan tamamen kaldırılmasının en önemli nedenlerinden biri olmuştur.

Lobotomi Nedir 1

LOBOTOMİ KİMLERE YAPILIR?

Geçmişte lobotomi, özellikle ağır şizofreni, manik depresyon ve kontrol edilemeyen obsesif davranışları olan kişilere uygulanıyordu. Ancak etik denetimlerin yetersizliği nedeniyle çocuklara, kadınlara ve topluma uyumsuz görülen bireylere bile yapıldığı bilinmektedir. Bu durum, tıp tarihindeki en büyük insan hakları ihlallerinden biri olarak kayıtlara geçmiştir.

LOBOTOMİ İŞE YARAR MI?

Bugünün bilimsel verilerine göre lobotomi, psikiyatrik hastalıkları iyileştiren bir yöntem değildir. Hastaların bazı semptomları azalabilse de bu, beynin işlev kaybı sayesinde gerçekleşmiştir. Dolayısıyla lobotomi, kısa vadede “etkili” görünse de uzun vadede hastaların yaşam kalitesini ciddi şekilde düşürmüştür.

Lobotomi Nedir 2

LOBOTOMİ SONUÇLARI

Lobotomi sonuçları genellikle dramatiktir. Ameliyat sonrası hastaların bir kısmı tamamen pasif hale gelmiş, bazıları ise temel yaşam becerilerini dahi yerine getiremez olmuştur. Tarihsel kayıtlar, bu operasyonun binlerce insanın hayatını geri dönüşsüz biçimde değiştirdiğini ortaya koymaktadır. Bu nedenle lobotomi, günümüzde tıp biliminin yaptığı en büyük hatalardan biri olarak anılmaktadır.

BEYİN LOBEKTOMİ NEDİR?

Lobotomi ile sıkça karıştırılan beyin lobektomi ise aslında çok farklı bir operasyondur. Beyin lobektomi, epilepsi, beyin tümörü veya ciddi beyin travması gibi durumlarda beynin belirli bir lobunun cerrahi olarak çıkarılması işlemidir. Lobotominin aksine, lobektomi günümüzde hâlâ uygulanabilen ve bazı hastalarda hayat kurtarıcı olabilen bir tedavi yöntemidir.

Lobotomi Nedir

EDİTÖRDEN NOT

Lobotomi, psikiyatrik hastalıkların tedavisinde bir dönem umut olarak görülse de insanlık tarihinin en tartışmalı tıbbi girişimlerinden biri olmuştur. Ağır yan etkileri, insan hakları ihlalleri ve geri dönüşü olmayan sonuçları nedeniyle bugün artık terk edilmiştir. Modern tıp, lobotomi yerine çok daha güvenli ve etik tedavi yöntemleri sunmaktadır.

Kaynak: Haber Merkezi