Diş eti çekilmesi, tıp literatüründe periodontitis olarak adlandırılır ve dişleri destekleyen dokuların iltihaplanması sonucu ortaya çıkar. Bu durum, tedavi edilmediğinde dişleri yerinde tutan kemiği zayıflatarak diş kaybına neden olabilir.
DİŞ ETİ ÇEKİLMESİ (PERIODONTITIS) NEDİR?
Diş eti çekilmesi, dişlerin çevresindeki yumuşak dokuya zarar veren ve ilerledikçe çene kemiğinde kayba yol açabilen bir enfeksiyondur. Diş eti hastalığı olarak da bilinen periodontitis, çoğunlukla kötü ağız hijyeninden kaynaklanır.
Uzmanlara göre dişlerin günde iki kez fırçalanması, diş ipi kullanımı ve düzenli diş hekimi kontrolleri bu hastalığın önlenmesinde en etkili yöntemler arasında yer alıyor.
DİŞ ETİ ÇEKİLMESİ (PERIODONTITIS) NEDEN OLUR?
Diş eti çekilmesi genellikle bakteri plağı oluşumuyla başlar. Dişlerde biriken plak temizlenmediğinde sertleşerek diş taşı haline gelir. Diş taşı, bakteriler için uygun bir ortam oluşturur ve diş etlerinde iltihaplanmaya yol açar.
Tedavi edilmeyen iltihap, zamanla periodontitis seviyesine ulaşarak diş etiyle diş arasındaki boşlukların derinleşmesine neden olur. Bu durum, bakterilerin çoğalmasını kolaylaştırır ve diş kaybı riskini artırır.
Risk faktörleri arasında kötü ağız hijyeni, sigara kullanımı, diyabet, genetik yatkınlık, hormonal değişimler ve bazı ilaçların neden olduğu ağız kuruluğu bulunuyor.
DİŞ ETİ ÇEKİLMESİ (PERIODONTITIS) İLE ORTAYA ÇIKABİLECEK RİSKLER
Diş eti çekilmesi, yalnızca diş kaybına değil, aynı zamanda vücut genel sağlığını etkileyen çeşitli hastalıklara da yol açabiliyor. Periodontitis kaynaklı bakteriler, kan dolaşımına karışarak kalp-damar hastalıkları, solunum yolu enfeksiyonları ve diyabet kontrolü sorunlarına neden olabiliyor.
DİŞ ETİ ÇEKİLMESİ (PERIODONTITIS) NASIL ÖNLENİR?
Periodontiti önlemenin en etkili yolu, erken yaştan itibaren başlanan düzenli ağız ve diş temizliği alışkanlıklarıdır.
-
Dişlerin günde en az iki kez fırçalanması
-
Her gün diş ipi kullanılması
-
6-12 ayda bir diş hekimi kontrolü yapılması öneriliyor.
Ayrıca sigara ve tütün kullanımından kaçınmak, şekerli gıdaları azaltmak ve yeterli su tüketmek de diş eti sağlığı açısından önem taşıyor.
DİŞ ETİ ÇEKİLMESİ (PERIODONTITIS) BELİRTİLERİ NELERDİR?
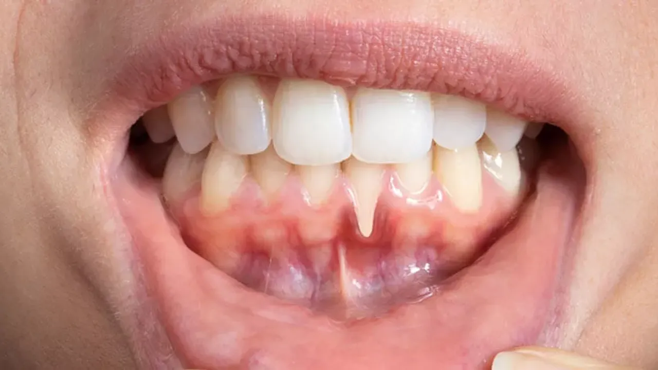
Periodontitisin erken belirtileri genellikle fark edilmez. Ancak ilerleyen dönemlerde şu semptomlar görülür:
-
Şişmiş, kızarık veya morumsu diş etleri
-
Diş fırçalarken kanama
-
Ağız kokusu
-
Dişlerde gevşeme veya yer değiştirme
-
Diş etlerinin çekilmesi ve dişlerin uzun görünmesi
-
Ağrılı çiğneme veya diş hassasiyeti
Bu belirtilerden biri dahi görüldüğünde, gecikmeden diş hekimine başvurulması öneriliyor.
DİŞ ETİ ÇEKİLMESİ (PERIODONTITIS) NASIL TEŞHİS EDİLİR?
Diş hekimi, periodontitis teşhisi için ağız muayenesi yapar ve diş etiyle diş arasındaki boşlukların derinliğini ölçer. 1-3 mm normal kabul edilirken, 4 mm ve üzeri cep derinliği hastalık göstergesi sayılır.
Ayrıca röntgen ile kemik kaybı olup olmadığı kontrol edilir. Hastalığın şiddetine göre tedavi planı oluşturulur.
DİŞ ETİ ÇEKİLMESİ (PERIODONTITIS) NASIL TEDAVİ EDİLİR?
Tedavide amaç, bakterilerin temizlenmesi ve diş etinin iyileşmesini sağlamaktır.
-
Diş taşı temizliği (kürtaj ve kök yüzeyi düzleştirme) yöntemiyle tartar uzaklaştırılır.
-
Antibiyotik tedavisi, enfeksiyonun kontrol altına alınmasına yardımcı olur.
-
Gelişmiş vakalarda ise cerrahi müdahale gerekebilir.
Cerrahi tedaviler arasında flap ameliyatı (cep küçültme), kemik grefti ve yumuşak doku nakli gibi işlemler yer alır. Bu uygulamalar diş etini güçlendirir ve kaybedilen dokunun yeniden oluşmasına yardımcı olur.
DİŞ ETİ ÇEKİLMESİ (PERIODONTITIS) İÇİN YAŞAM TARZI DEĞİŞİKLİKLERİ VE EVDE BAKIM
Uzmanlar, periodontitisin önlenmesi ve tedavi sonrası tekrarlamaması için şu önerilerde bulunuyor:
-
Dişleri her öğünden sonra fırçalayın.
-
Yumuşak kıllı diş fırçası tercih edin ve üç ayda bir değiştirin.
-
Her gün diş ipi kullanın.
-
Diş hekiminin önerdiği antiseptik gargaraları kullanın.
-
Sigara ve tütün ürünlerinden uzak durun.
Düzenli bakım ve profesyonel kontroller, diş eti çekilmesinin ilerlemesini durdurmada ve diş kaybını önlemede kritik öneme sahip.




