'Flair Hiperintens Odakların Klinik Önemi' bölümünde ise, bu odakların multipl skleroz, tümör veya enfeksiyon gibi nörolojik hastalıkların teşhis ve takibindeki rolü vurgulanmaktadır. T2a ve Flair, nörolojik durumların değerlendirilmesinde kritik bir öneme sahiptir ve doğru değerlendirilmesi, hastaların tedavi planları için kilit bir role sahiptir.
T2a Ve Nedir? Bilmeniz Gerekenler
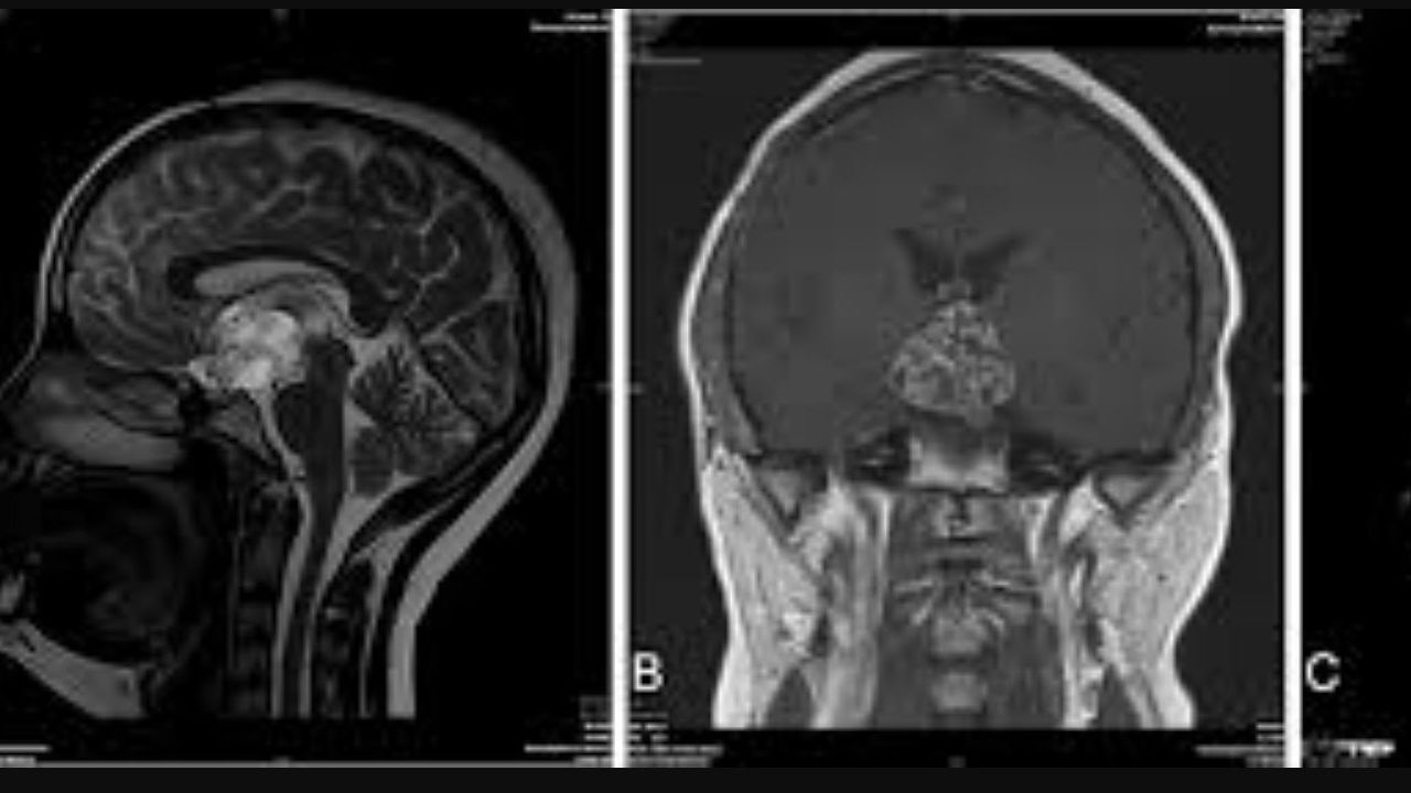
T2a Ve, tıbbi görüntüleme tekniklerinde kullanılan bir terimdir ve özellikle MRI (Manyetik Rezonans Görüntüleme) taramalarında önemli bir yere sahiptir. Bu tür taramalar, beyindeki ve omurilikteki farklı doku türlerini ayırt edebilmek için kullanılır. T2a sinyalleri, sıvı birikimlerine ya da lezyonlara dair önemli ipuçları sağlayabilir. Bu nedenle, T2a Ve sinyallerinin analizi, birçok hastalığın erken teşhisi ve doğru tedavi planlaması için kritik öneme sahiptir.
T2a Ve Hakkında Temel Bilgiler
- T2a, MRI taramalarında yoğun sıvı içeriği gösterir.
- Malign tümörler genellikle T2a ağırlıklı görüntülerde parlaktır.
- Bazı nörolojik hastalıklar T2a değişiklikleri ile ilişkilidir.
- Perinatoloji alanında fetüsün gelişimi izlenirken T2a kullanılır.
- Flair sekansları ile birlikte değerlendirilir.
- Dokular arasında kontrast farklılıkları yüksek olan alanları tanımlar.
Tıbbi görüntüleme uzmanları ve radyologlar, T2a sinyallerini değerlendirmek için gelişmiş yazılımlar ve analiz teknikleri kullanır. Bu sinyaller, normal ve anormal doku yapılarını tanımlamak için görünür hale getirilebilir. T2a Ve görüntüler, sıvı ve iltihaplanma gibi durumları tanımlayarak doktorlara klinik karar verme sürecinde yön gösterir. Ayrıca, gelişmiş renk kodlama teknikleriyle bu görüntüler daha detaylı hale getirilebilir ve hastalıkların daha iyi anlaşılmasına yardımcı olabilir.
T2a Ve'nin Tanımı
T2a Ve, spesifik olarak belirli bir ağırlıklı manyetik rezonans görüntüleme tekniğini ifade eder. Bu teknik, farklı doku türleri arasında kontrast yaratmak için su moleküllerinin davranışını izler. Su molekülleri, birçok hastalıkla ilişkili değişikliklerin belirlenmesine yardımcı olur, çünkü enflamasyon ve ödem gibi durumlar su içeriği açısından zengindir. Bu şekilde, T2a Ve sinyalleri, patolojilerin tespiti ve karakterizasyonunda hayati bir rol oynayabilir.
Neden Önemlidir?
T2a Ve, birçok nörolojik ve metabolik bozukluğun tespitinde kritik bir araçtır. Tümör gibi ciddi durumların yanı sıra demiyelinizan hastalıklar ve nörodejeneratif hastalıkların erken tanısı için de önemlidir. Örneğin, T2a Ve'nin yüksek olduğu bölgelerdeki parlaklık, glioma gibi malign tümörlerin erken evrede saptanmasına yardımcı olabilir. Ayrıca, T2a sinyalleri kronik hastalıklarda çeşitli aşamaların izlenmesine de katkıda bulunur. Bu bağlamda, T2a değerlendirmesi sayesinde tedaviye yanıtın ölçülmesi ve hastalığın ilerleyişinin izlenmesi sağlanabilir. Beyin, omurga ve diğer organlardaki değişikliklerin izlenmesinde yaygın olarak kullanılır.
Flair Hiperintens Odakların Klinik Önemi
T2a Ve Flair hiperintens odaklar, beyin görüntülemede sıklıkla karşılaşılan bulgulardır. Çoğu zaman multipl skleroz, vasküler parkinsonizm veya bazı migren türlerinin teşhisinde önemli bir rol oynarlar. Beyinde herhangi bir patoloji belirtisi gösteren bu odaklar, klinikte belirli semptomlar veya rahatsızlıklar ile ilişkilendirilebilir, bu nedenle erken teşhis ve doğru değerlendirme oldukça önem taşır.
Flair hiperintens odaklar, beyin MRI'ları üzerinde çok net görülebilseler de, her hastada benzer klinik sonuçlara ulaşılmaz. Sağlıklı bireylerde veya yaşlanma ile ilişkili değişikliklerde de benzer görünümler olabilir. Bu nedenle, T2a Ve Flair hiperintens odaklarının değerlendirmesi dikkatle yapılmalıdır.
Flair Hiperintens Odakların Değerlendirme Adımları
- Başlangıçta kapsamlı bir hasta hikayesi alınmalıdır.
- Nörolojik muayene ile desteklenen klinik değerlendirme yapılmalıdır.
- MRI görüntüleri detaylı bir şekilde analiz edilmelidir.
- Laboratuvar testleriyle olası diğer sebepler göz ardı edilmelidir.
- Gerekirse tekrar eden MR incelemeleri düzenlenmelidir.
- Klinik semptomlar sürekli izlenmelidir.
- Multidisipliner bir yaklaşımla farklı uzmanlık dallarından görüş alınmalıdır.
Özellikle farklı hastalıkların tek bir semptom verebileceği durumlarda doğru tanı koymak ve uygun tedavi planlaması yapmak için multidisipliner bir yaklaşım önem kazanır.
Belirgin bir şekilde, bu odakların doğru değerlendirilmesi ve yorumlanması, hastanın uzun dönemde sağlıklı kalması açısından kritik öneme sahiptir. Buna ek olarak, Flair hiperintens odakların anlaşılmasının ardında yatan mekanizmaların incelenmesi de önemlidir. Araştırmalar bu alanda devam etmekte ve daha fazla bilgi edinildikçe tanı süreçleri ve tedavi yöntemleri gelişmektedir.
Klinik Bulgular
Klinik bulgular, beyinde tespit edilen Flair hiperintens odakların klinik önemi hakkında daha fazla bilgi sağlar. Hasta, baş ağrısı, denge kaybı veya diğer nörolojik semptomlarla başvurduğunda, bu bulgular odakların hangi hastalıklara bağlı olduğunu anlamada yardımcı olur. Bununla birlikte, bazı hastalarda hiçbir semptom görülmeyebilir, bu da daha detaylı bir inceleme gerektirir.
Görüntüleme Teknikleri
Flair hiperintens odakları tespit etmek için kullanılan görüntüleme teknikleri arasında özellikle MRI önemli bir yere sahiptir. MRI, beyin dokularının detaylı bir haritasını çıkararak bu odakların nerede ve nasıl oluştuğunu anlamamıza olanak tanır. Ek olarak, görüntüleme teknikleri arasında T1, T2 ve Flair sekansları, farklı doku özelliklerini ve hastalık belirtilerini daha iyi kavramak için kullanılabilir.





